TIN TỨC
Tin tức sức khỏe,
thông báo về DYM
TĂNG SINH TUYẾN TIỀN LIỆT: NGUYÊN NHÂN, TRIỆU CHỨNG, CHẨN ĐOÁN VÀ HƯỚNG ĐIỀU TRỊ
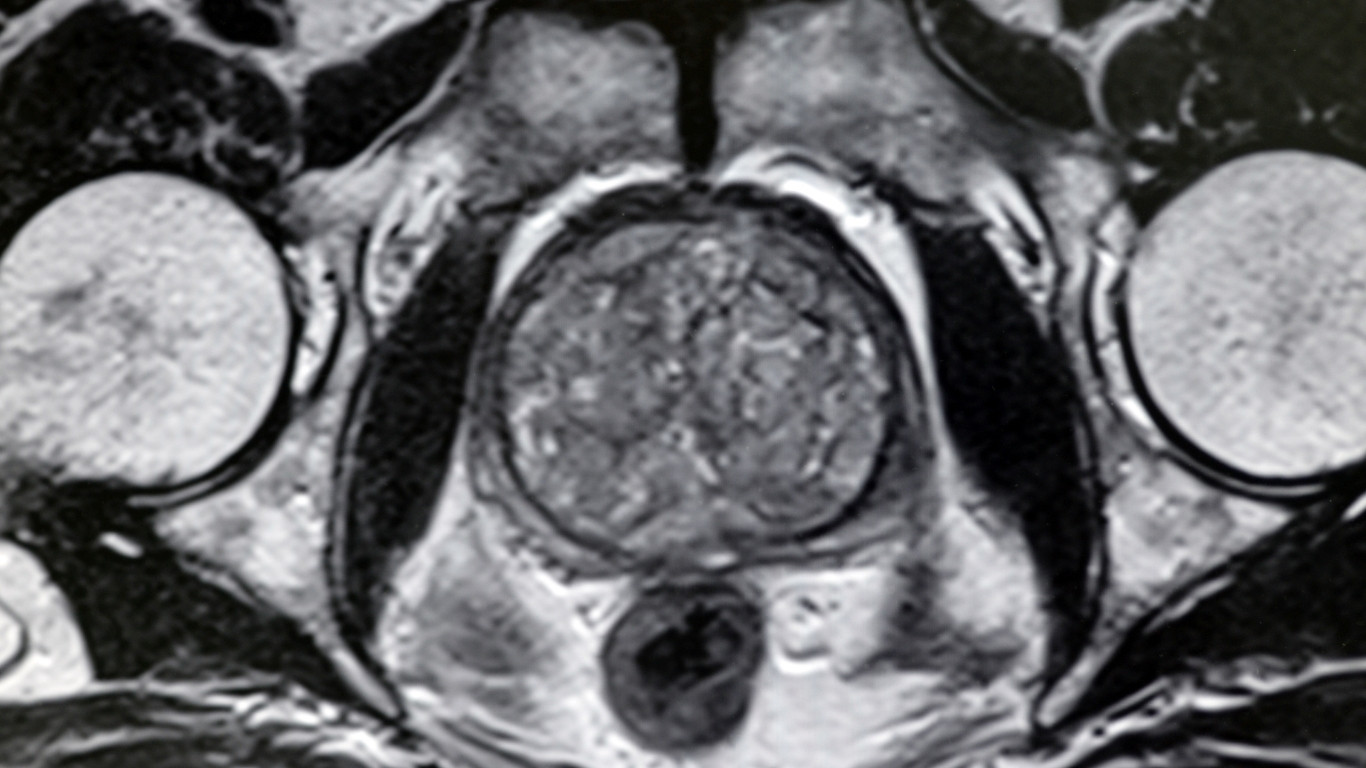
Tổng quan tăng sinh tuyến tiền liệt
Tăng sinh tuyến tiền liệt (còn gọi là phì đại lành tính tuyến tiền liệt) là tình trạng tuyến tiền liệt to lên theo tuổi, gây chèn ép vào niệu đạo và bàng quang, dẫn đến rối loạn tiểu tiện. Đây là bệnh lý phổ biến ở nam giới trung niên và lớn tuổi, đặc biệt sau 50 tuổi.
Mặc dù lành tính, nhưng nếu không điều trị sớm, tăng sinh tuyến tiền liệt có thể gây bí tiểu, nhiễm trùng đường tiểu, sỏi bàng quang hoặc suy thận.

Chức năng và vị trí của tuyến tiền liệt
Tuyến tiền liệt nằm ngay dưới bàng quang, bao quanh đoạn đầu niệu đạo – ống dẫn nước tiểu ra ngoài. Tuyến có vai trò sản xuất dịch tiền liệt, một thành phần của tinh dịch giúp nuôi dưỡng và bảo vệ tinh trùng.
Khi tuyến này to lên, nó chèn ép vào niệu đạo, làm dòng nước tiểu yếu, tiểu khó và tiểu nhiều lần.
Nguyên nhân và yếu tố nguy cơ
1. Tuổi tác
-
Là yếu tố chính. Sau 40 tuổi, mô tuyến tiền liệt bắt đầu tăng sinh.
-
Tỷ lệ mắc tăng cao rõ rệt ở nhóm trên 60 tuổi.
2. Thay đổi nội tiết tố nam
- Sự mất cân bằng giữa testosterone và dihydrotestosterone (DHT) khiến các tế bào tuyến tăng sinh quá mức.
3. Yếu tố di truyền
- Nam giới có cha hoặc anh trai bị phì đại tuyến tiền liệt có nguy cơ mắc bệnh cao hơn.
4. Béo phì, ít vận động
- Ảnh hưởng đến chuyển hóa hormone và tuần hoàn vùng chậu.
5. Chế độ ăn uống
- Ăn nhiều chất béo động vật, uống rượu bia, cà phê, hút thuốc lá có thể làm bệnh tiến triển nhanh hơn.
Triệu chứng lâm sàng
Biểu hiện của tăng sinh tuyến tiền liệt được chia thành hai nhóm: triệu chứng tắc nghẽn và triệu chứng kích thích bàng quang.
1. Triệu chứng tắc nghẽn
-
Tiểu khó, phải rặn mới ra.
-
Dòng tiểu yếu, ngắt quãng.
-
Cảm giác tiểu không hết.
-
Bí tiểu cấp hoặc mạn tính (trong trường hợp nặng).
2. Triệu chứng kích thích
-
Tiểu nhiều lần, đặc biệt ban đêm (tiểu đêm).
-
Tiểu gấp, có thể tiểu són.
-
Cảm giác khó chịu vùng hạ vị.
3. Triệu chứng muộn
-
Nhiễm trùng tiểu tái phát.
-
Sỏi bàng quang do ứ đọng nước tiểu.
-
Giãn niệu quản, ứ nước thận, suy thận mạn nếu để lâu không điều trị.
Chẩn đoán
1. Khai thác bệnh sử và thăm khám
-
Hỏi kỹ triệu chứng tiểu tiện, thời gian mắc, mức độ ảnh hưởng đến cuộc sống.
-
Khám trực tràng bằng tay: bác sĩ có thể sờ thấy tuyến tiền liệt to, mềm, trơn láng, có thể là tăng sinh lành tính.
2. Xét nghiệm và cận lâm sàng
-
Siêu âm bụng hoặc siêu âm qua trực tràng:
-
Đánh giá kích thước tuyến (bình thường khoảng 20–25 gram).
-
Đo thể tích nước tiểu tồn dư sau khi đi tiểu (<50 ml là bình thường).
-
Phát hiện các biến chứng như sỏi bàng quang, ứ nước thận.
-
-
Xét nghiệm PSA (dấu ấn ung thư tuyến tiền liệt):
-
Giá trị bình thường: <4 ng/ml.
-
Mức PSA cao có thể gặp trong viêm, phì đại hoặc ung thư tuyến tiền liệt – cần phân biệt rõ.
-
-
Đo lưu lượng dòng tiểu (Uroflowmetry):
-
Bình thường: >15 ml/giây.
-
Giảm dưới 10 ml/giây gợi ý tắc nghẽn.
-
-
Xét nghiệm nước tiểu:
- Phát hiện nhiễm trùng, máu trong nước tiểu hoặc tinh thể sỏi.
-
Nội soi bàng quang (khi cần):
- Đánh giá mức độ chèn ép của tuyến vào niệu đạo.

Điều trị
1. Theo dõi (nếu nhẹ)
-
Áp dụng khi tuyến tiền liệt <30g, triệu chứng nhẹ, không biến chứng.
-
Kiểm tra định kỳ 6–12 tháng/lần.
-
Điều chỉnh lối sống:
-
Hạn chế uống nước buổi tối, tránh cà phê, rượu bia.
-
Không nhịn tiểu.
-
Tăng cường vận động.
-
2. Điều trị nội khoa
-
Thuốc chẹn alpha (giãn cơ trơn cổ bàng quang):
-
Như tamsulosin, alfuzosin, doxazosin.
-
Giúp tiểu dễ hơn, giảm bí tiểu.
-
-
Thuốc ức chế 5-alpha reductase (giảm kích thước tuyến):
-
Finasteride, dutasteride.
-
Tác dụng sau 3–6 tháng, giảm thể tích tuyến 20–30%.
-
-
Kết hợp hai nhóm thuốc:
- Hiệu quả tốt ở bệnh nhân có tuyến lớn (>40g) và triệu chứng nặng.
-
Thuốc thảo dược hỗ trợ:
- Từ cọ lùn (saw palmetto), chiết xuất bí ngô, cúc gai… có thể giúp giảm triệu chứng nhẹ.
3. Điều trị ngoại khoa
Áp dụng khi:
-
Bí tiểu tái phát.
-
Nhiễm trùng niệu thường xuyên.
-
Ứ nước thận, sỏi bàng quang.
-
Dòng tiểu yếu kéo dài dù đã dùng thuốc.
Các phương pháp phẫu thuật:
-
Cắt nội soi tuyến tiền liệt qua niệu đạo: phương pháp chuẩn hiện nay.
-
Laser tuyến tiền liệt: ít chảy máu, phục hồi nhanh.
-
Mở bàng quang bóc nhân tuyến tiền liệt: chỉ áp dụng khi tuyến quá lớn (>100g).
Biến chứng nếu không điều trị
-
Bí tiểu cấp, phải đặt ống thông tiểu.
-
Nhiễm khuẩn tiết niệu tái phát.
-
Sỏi bàng quang.
-
Ứ nước thận, suy thận mạn.
-
Ảnh hưởng đến chức năng sinh dục (rối loạn cương, xuất tinh ngược dòng).
Tham khảo thêm:
NỐT VÔI TIỀN LIỆT TUYẾN: NGUYÊN NHÂN, Ý NGHĨA VÀ CÁCH XỬ TRÍ
SỎI THẬN: NGUYÊN NHÂN, TRIỆU CHỨNG, CHẨN ĐOÁN VÀ ĐIỀU TRỊ
Phòng ngừa tăng sinh tuyến tiền liệt
-
Khám sức khỏe định kỳ, đặc biệt nam giới trên 45 tuổi.
-
Giữ cân nặng hợp lý, tránh béo bụng.
-
Uống đủ nước ban ngày, hạn chế buổi tối.
-
Không lạm dụng rượu, thuốc lá, cà phê.
-
Tập thể dục đều đặn, đặc biệt các bài tập vùng chậu.
-
Duy trì đời sống tình dục điều độ.

Khi nào cần đi khám?
Nam giới nên đến khám bác sĩ tiết niệu khi có các dấu hiệu:
-
Tiểu đêm >2 lần.
-
Dòng tiểu yếu, ngắt quãng.
-
Phải rặn mới tiểu ra.
-
Cảm giác tiểu không hết.
-
Bí tiểu đột ngột hoặc có máu trong nước tiểu.
Câu hỏi thường gặp (FAQ)
1. Tăng sinh tuyến tiền liệt có phải là ung thư không?
Không. Đây là tình trạng lành tính, không phải ung thư. Tuy nhiên, bệnh có thể tồn tại đồng thời với ung thư tuyến tiền liệt, nên cần kiểm tra PSA định kỳ.
2. Bệnh có chữa khỏi hoàn toàn không?
Điều trị giúp kiểm soát triệu chứng và ngăn biến chứng, nhưng tuyến tiền liệt không thể trở lại kích thước ban đầu. Người bệnh cần theo dõi suốt đời.
3. Thuốc điều trị có ảnh hưởng đến sinh lý không?
Một số thuốc có thể gây giảm ham muốn, rối loạn cương hoặc xuất tinh ngược dòng, nhưng thường nhẹ và hồi phục khi ngưng thuốc.
4. Sau mổ tuyến tiền liệt có tái phát không?
Phẫu thuật có thể duy trì hiệu quả lâu dài, tuy nhiên sau 10–15 năm, một số người vẫn có thể tái phát do mô tuyến tiếp tục tăng sinh.
5. Ăn uống thế nào để tốt cho tuyến tiền liệt?
Ưu tiên rau xanh, cá, trái cây, hạn chế chất béo động vật. Có thể bổ sung thực phẩm giàu kẽm (hàu, hạt bí, đậu nành) giúp bảo vệ tuyến tiền liệt.
Kết luận
Tăng sinh tuyến tiền liệt là bệnh lý lành tính nhưng gây ảnh hưởng đáng kể đến chất lượng sống của nam giới. Việc phát hiện sớm, theo dõi định kỳ và điều trị đúng giai đoạn giúp phòng ngừa các biến chứng nguy hiểm và duy trì sức khỏe sinh lý ổn định.
Để đặt lịch khám và theo dõi Tăng sinh tuyến tiền liệt tại DYM Medical Center, quý khách vui lòng liên hệ:
DYM MEDICAL CENTER SÀI GÒN: Phòng B101-103, Tầng hầm B1, Tòa nhà mPlaza Saigon, Số 39 Lê Duẩn, Phường Sài Gòn, TP. Hồ Chí Minh.
DYM MEDICAL CENTER PHÚ MỸ HƯNG: Phòng 3A01, Tầng 3A, Tòa nhà The Grace, Số 71 Đường Hoàng Văn Thái, Phường Tân Mỹ, TP. Hồ Chí Minh.
DYM MEDICAL CENTER HÀ NỘI: Tầng hầm B1, Tòa nhà Epic Tower, Ngõ 19 Duy Tân, Phường Cầu Giấy, Hà Nội.
Hotline: 1900 2929 37
Đăng ký khám ngay để nhận
những ưu đãi mới nhất
Đặt lịch ngay
Các gói khám
- Gói khám Nha khoa
- Gói khám Nhi khoa
- Gói khám Work permit - Bổ sung giấy phép lao động
- Khám tiền hôn nhân
- Gói khám Sản phụ khoa
- Gói khám Tầm soát ung thư
- Khám sức khoẻ tổng quát
- Sàng lọc lao trước khi nhập cảnh vào Nhật Bản (Jpets)
- Gói khám thẻ xanh
- Khám sức khoẻ xuất khẩu lao động sang Nhật
- Khám sức khoẻ theo kỹ năng đặc định làm việc tại Nhật (Tokutei)
- Khám sức khỏe doanh nghiệp tại Hà Nội
- Khám sức khỏe doanh nghiệp tại TP Hồ Chí Minh
Liên hệ ngay với chúng tôi
Liên hệ với DYM để nhận hỗ trợ nhanh
chóng qua các kênh liên lạc của chúng tôi!