TIN TỨC
Tin tức sức khỏe,
thông báo về DYM
DÀY DÍNH MÀNG PHỔI
1. Tổng quan về dày dính màng phổi
Dày dính màng phổi là tình trạng các lá màng phổi – bao gồm màng phổi tạng (bao phủ phổi) và màng phổi thành (lót trong lồng ngực) – bị viêm, dày lên hoặc dính lại với nhau. Đây là hậu quả của nhiều bệnh lý trước đó, đặc biệt là viêm phổi, lao phổi, tràn dịch hoặc tràn khí màng phổi.
Dù không phải lúc nào cũng gây triệu chứng nặng, dày dính màng phổi có thể ảnh hưởng đến khả năng giãn nở của phổi, gây khó thở hoặc đau tức ngực kéo dài.
2. Nguyên nhân của dày dính màng phổi
Một số nguyên nhân thường gặp của dày dính màng phổi gồm:
-
Lao phổi hoặc lao màng phổi: nguyên nhân phổ biến nhất, gây viêm mạn tính dẫn đến xơ hóa và dính màng phổi.
-
Viêm phổi hoặc tràn dịch màng phổi: đặc biệt nếu điều trị không triệt để, dịch viêm có thể tổ chức hóa tạo sẹo.
-
Tràn máu màng phổi, tràn khí màng phổi: sau chấn thương hoặc phẫu thuật ngực.
-
Bệnh nghề nghiệp hoặc phơi nhiễm: ví dụ tiếp xúc với amiăng.
-
Phẫu thuật hoặc can thiệp lồng ngực: như mổ phổi, dẫn lưu màng phổi.
-
Một số bệnh tự miễn: lupus ban đỏ, viêm khớp dạng thấp có thể gây viêm màng phổi mạn.
3. Triệu chứng
Nhiều người bị dày dính màng phổi không có triệu chứng rõ. Tuy nhiên, khi tổn thương lan rộng hoặc ảnh hưởng đến chức năng hô hấp, có thể xuất hiện:
-
Khó thở, đặc biệt khi gắng sức.
-
Đau hoặc tức ngực âm ỉ, kéo dài.
-
Ho khan hoặc cảm giác nặng ngực.
-
Giảm dung tích phổi, cảm giác hụt hơi.
Nếu dày dính chỉ khu trú nhỏ, bệnh nhân có thể hoàn toàn không có biểu hiện lâm sàng.
4. Chẩn đoán
4.1. Khám lâm sàng
- Có thể phát hiện giảm thông khí vùng phổi bị tổn thương, gõ đục, rì rào phế nang giảm.
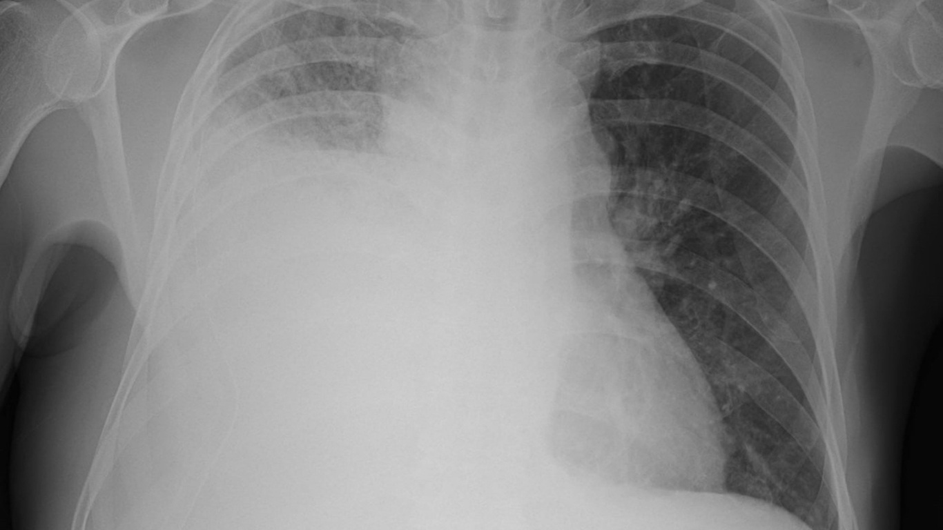
4.2. Hình ảnh học
-
X-quang ngực: thấy hình mờ dạng xơ ở vùng màng phổi, góc sườn hoành tù hoặc mất.
-
CT ngực: là phương pháp chính xác nhất, giúp đánh giá độ dày, mức độ dính, phân biệt với u màng phổi hay tràn dịch khu trú.
-
Siêu âm ngực: hỗ trợ phát hiện dày màng phổi, dịch khu trú hoặc canxi hóa.
4.3. Các xét nghiệm khác
-
Xét nghiệm lao (Mantoux, IGRA, soi đờm, PCR) nếu nghi ngờ nguyên nhân do lao.
-
Công thức máu, CRP nếu có dấu hiệu viêm.
-
Đôi khi cần chọc dò màng phổi hoặc sinh thiết để xác định nguyên nhân.

5. Tiêu chuẩn chẩn đoán
Không có tiêu chuẩn chẩn đoán duy nhất, tuy nhiên, dày dính màng phổi thường được xác định khi:
-
Hình ảnh trên CT cho thấy màng phổi dày ≥3 mm kéo dài hoặc khu trú.
-
Có bằng chứng dính giữa lá thành và lá tạng.
-
Loại trừ được nguyên nhân u hoặc tràn dịch cấp tính.
6. Biến chứng
-
Giảm khả năng giãn nở của phổi và hạn chế hô hấp mạn tính.
-
Đau ngực mạn tính do xơ hóa.
-
Tái phát tràn dịch hoặc tràn khí (nếu dính không hoàn toàn).
-
Ảnh hưởng chất lượng cuộc sống, giảm khả năng gắng sức.
**Tham khảo thêm: **
XƠ PHỔI SAU LAO NGUYÊN NHÂN, BIỂU HIỆN, CHẨN ĐOÁN VÀ HƯỚNG ĐIỀU TRỊ
DẤU ẤN UNG THƯ PHỔI CYFRA 21-1: Ý NGHĨA CHẨN ĐOÁN VÀ THEO DÕI
7. Điều trị
Điều trị phụ thuộc vào nguyên nhân và mức độ ảnh hưởng đến hô hấp.
7.1. Điều trị nội khoa
-
Điều trị nguyên nhân: ví dụ, điều trị lao phổi, kiểm soát viêm hoặc nhiễm trùng.
-
Thuốc giảm đau, kháng viêm: giúp giảm khó chịu ngực.
-
Vật lý trị liệu hô hấp: tập thở sâu, giãn cơ hoành giúp tăng dung tích phổi.
7.2. Can thiệp ngoại khoa
-
Giải phóng dính màng phổi: áp dụng khi dính lan rộng, gây xẹp phổi hoặc giảm thông khí đáng kể.
-
Dẫn lưu hoặc bóc tách màng phổi trong trường hợp dịch mạn tính hoặc xơ hóa nặng.
7.3. Theo dõi định kỳ
-
Kiểm tra hình ảnh phổi 6–12 tháng/lần.
-
Đánh giá chức năng hô hấp nếu có triệu chứng tiến triển.
8. Phòng ngừa
-
Điều trị sớm và triệt để các bệnh lý hô hấp: đặc biệt là viêm phổi, lao phổi, tràn dịch màng phổi.
-
Tránh tiếp xúc với amiăng hoặc môi trường ô nhiễm.
-
Tái khám sau phẫu thuật lồng ngực để phát hiện sớm dính màng phổi.
-
Không tự ý ngưng thuốc trong điều trị lao hoặc viêm phổi mạn.
9. Tiên lượng
Phần lớn trường hợp dày dính màng phổi ổn định, không tiến triển nếu điều trị đúng nguyên nhân. Tuy nhiên, nếu tổn thương lan rộng hoặc xơ hóa nặng, người bệnh có thể bị giảm thông khí mạn tính, đặc biệt ở người lớn tuổi hoặc có bệnh phổi mạn tính đi kèm.
10. Câu hỏi thường gặp (FAQ)
1. Dày dính màng phổi có tự hết không?
Không. Khi màng phổi đã bị xơ hóa và dính, tổn thương thường là vĩnh viễn. Tuy nhiên, nếu nhẹ và khu trú nhỏ, cơ thể có thể tự thích nghi mà không cần điều trị đặc hiệu.
2. Dày dính màng phổi có nguy hiểm không?
Thông thường không nguy hiểm đến tính mạng, nhưng có thể gây khó thở, đau ngực hoặc hạn chế khả năng vận động, đặc biệt khi lan rộng.
3. Có cần phẫu thuật khi bị dày dính màng phổi không?
Chỉ cần khi tình trạng gây giảm chức năng hô hấp rõ hoặc gây xẹp phổi. Đa số bệnh nhân chỉ cần theo dõi định kỳ.
4. Dày dính màng phổi có tái phát không?
Nếu điều trị nguyên nhân tốt (như lao, viêm phổi), nguy cơ tái phát rất thấp. Tuy nhiên, có thể xuất hiện dày dính mới ở vị trí khác nếu có đợt viêm tái diễn.
Kết luận
Dày dính màng phổi là hậu quả của quá trình viêm hoặc tổn thương màng phổi, có thể để lại ảnh hưởng lâu dài đến chức năng hô hấp. Việc phát hiện và điều trị sớm các bệnh lý hô hấp là chìa khóa quan trọng để ngăn ngừa biến chứng này. Nếu có triệu chứng khó thở, đau ngực kéo dài sau viêm phổi hoặc lao phổi, người bệnh nên đi khám chuyên khoa hô hấp để được đánh giá và xử trí phù hợp.
Để đặt lịch khám và theo dõi Dày dính màng phổi tại DYM Medical Center, quý khách vui lòng liên hệ:
DYM MEDICAL CENTER SÀI GÒN: Phòng B101-103, Tầng hầm B1, Tòa nhà mPlaza Saigon, Số 39 Lê Duẩn, Phường Sài Gòn, TP. Hồ Chí Minh.
DYM MEDICAL CENTER PHÚ MỸ HƯNG: Phòng 3A01, Tầng 3A, Tòa nhà The Grace, Số 71 Đường Hoàng Văn Thái, Phường Tân Mỹ, TP. Hồ Chí Minh.
DYM MEDICAL CENTER HÀ NỘI: Tầng hầm B1, Tòa nhà Epic Tower, Ngõ 19 Duy Tân, Phường Cầu Giấy, Hà Nội.
Hotline: 1900 2929 37
Đăng ký khám ngay để nhận
những ưu đãi mới nhất
Đặt lịch ngay
Các gói khám
- Gói khám Nha khoa
- Gói khám Nhi khoa
- Gói khám Work permit - Bổ sung giấy phép lao động
- Khám tiền hôn nhân
- Gói khám Sản phụ khoa
- Gói khám Tầm soát ung thư
- Khám sức khoẻ tổng quát
- Sàng lọc lao trước khi nhập cảnh vào Nhật Bản (Jpets)
- Gói khám thẻ xanh
- Khám sức khoẻ xuất khẩu lao động sang Nhật
- Khám sức khoẻ theo kỹ năng đặc định làm việc tại Nhật (Tokutei)
- Khám sức khỏe doanh nghiệp tại Hà Nội
- Khám sức khỏe doanh nghiệp tại TP Hồ Chí Minh
Liên hệ ngay với chúng tôi
Liên hệ với DYM để nhận hỗ trợ nhanh
chóng qua các kênh liên lạc của chúng tôi!